پا (زانو) پرانتزی چیست؟
پا یا زانوی پرانتزی شرایطی که است که باعث میشود پاهای شما ظاهری شبیه به پرانتز داشته باشد. در این حالت زانوهای شما حتی در مواقعی که قوزکهای پا در کنار یکدیگر قرار دارند، از هم فاصله میگیرند. این شرایط بهطور عادی در بین نوزادان به خاطر محدود بودن فضا در رحم مادر مشاهده میشود.
معمولاً، درمان پای پرانتزی در بین نوزادان لازم نیست. در ادامه پاهای کودکان با راه افتادن صاف میشود و این شرایط معمولاً بین سنین 12 تا 18 ماهگی درمان میشود. در اکثر موارد، این مشکل هیچ عوارض جانبی ماندگاری برای کودک ایجاد نمیکند.
به هر حال، مشکل پا پرانتزی گاهی اوقات میتواند نشانهای از ابتلا به سایر بیماریها همچون بیماری بلانت یا نرمی استخوان باشد. در صورتی که فرزند شما با رسیدن به دو سالگی هنوز مشکل زانوی پرانتزی دارد، لازم است با پزشک در این رابطه ملاقات شود.
در بلند مدت، پای پرانتزی در کودکان و بزرگسالان میتواند باعث ابتلای فرد به آرتروز در مفاصل زانو و لگن شود. روشهای موجود برای درمان پا پرانتزی شامل بریسها، قالبها، یا عمل جراحی است که با استفاده از آنها میتوان مشکلات استخوانی را درمان کرد. در اصطلاح به این مشکل، بیماری زانو پرانتزی مادرزادی نیز گفته میشود.
فیلم درمان غیر جراحی و ورزش درمانی در زانو ضربدری و پرانتزی
علتها و دلایل
بسیاری از کودکان به خاطر شرایط خاص رحم با پای پرانتزی متولد میشوند. معمولاً، نیازی به نگرانی درباره این مشکل نیست و به تدریج پاها حالت عادی خود را با افزایش سن کودک پیدا خواهند کرد. بعضی از دلایل دیگر ایجاد پا پرانتزی به شرح زیر است:
بیماری بلانت
در هنگام ابتلا به بیماری بلانت، استخوانهای ساق پای کودک به طور غیر عادی رشد میکنند و به این ترتیب یک انحنا در زیر ناحیه زانوها ایجاد میشود. با راه افتادن کودک در نتیجه این بیماری، مشکل پای پرانتزی تشدید خواهد شد. این شرایط میتواند از ابتدا در کودک مشخص باشد، اما در بعضی موارد ممکن است علائم بیماری تا زمان رسیدن کودک به سنین نوجوانی قابل توجه نباشد. با گذشت زمان، مشکل زانوی پرانتزی میتواند باعث ایجاد مشکلات مفصل برای زانوها شود.
بیماری بلانت بیشتر در بین خانمها و نیز افراد آفریقایی-آمریکایی قابل مشاهده است. کودکان چاق و نیز کودکانی که زودتر از بقیه راه میافتند، در معرض ریسک بالاتر ابتلا به این بیماری قرار دارند. مطابق بررسی انجام شده توسط بیمارستان کودکان بوستون (BCH)، یک کودک میبایست بهطور عادی راه رفتن خود را در سنین بین 11 و 14 ماه شروع نماید.
نرمی استخوان
نرمی استخوان شرایطی است که در نتیجه فقر طولانی مدت ویتامین دی (D) در بدن ایجاد میشود. این شرایط باعث نرم و ضعیف شدن استخوانها شده و در نتیجه آن مشکل پا پرانتزی ایجاد میشود.
کوتولگی
رایج ترین نوع کوتولگی در نتیجه شرایطی به نام آکندروپلازی ایجاد میشود. در حقیقت رشد نامناسب استخوان در این حالت میتواند با گذشت زمان باعث ایجاد مشکل زانوی پرانتزی گردد.
علت پای پرانتزی در بزرگسالان
برخی از دلایل این بیماری شامل موارد زیر میشود:
آرتروز
در برخی موارد آرتروز پا و زانو در بزرگسالان منجر بهپای پرانتزی میشود. این بیماری میتواند غضروفها و استخوانهای اطراف زانو را به مرور زمان از بین ببرد. در صورتی که ساییدگی استخوانها در قسمت داخلی زانو بیشتر باشد پا حالت پرانتزی به خود میگیرد. در برخی موارد میزان و شدت پرانتزی بودن پا نشان دهندهی میزان آرتروز در قسمت داخلی مفصل زانو میباشد.
بیماری پاژه استخوان
این بیماری متابولیک تأثیرات منفی بر فرایند ترمیم شکستگی استخوان و بازسازی استخوان شکسته شده دارد. در نتیجه، استخوانهایی که پس از شکستگی ترمیم میشوند، دارای نیرومندی لازم نیستند. با گذشت زمان، این بیماری میتواند باعث ایجاد مشکل پا پرانتزی و نیز وارد شدن سایر آسیبها به مفصل شود. بیماری پاژه بیشتر در بین افراد مسن مشاهده میشود و امکان درمان موفقیتآمیز آن در صورت تشخیص و درمان بهموقع بیماری وجود دارد.
سایر دلایل
علاوه بر این، مشکل پا یا زانوی پرانتزی میتواند در نتیجه شرایط زیر ایجاد شود:
- شکستگیهای استخوان که به نحو مناسب ترمیم نشوند.
- رشد غیرعادی استخوانها یا دیسپلازی استخوان
- مسمومیت با سرب
- مسمومیت با فلوراید
چه افرادی بهپای پرانتزی مبتلا میشوند؟
بیشتر نوزادان و کودکان خردسال تا حدودی دارای خمیدگی فیزیولوژیک در پاهای خود هستند. اما این عارضه در کودکان بزرگتر بیشتر به دلیل بیماری بلانت یا بیماریهای دیگری رخ میدهد. بیماری بلانت بیشتر در کودکان با مشکلات زیر رایج میباشد:
- دارای اضافه وزن
- شروع به راهرفتن در سن بسیار کم
- داشتن سابقه خانوادگی در این بیماری
علائم و نشانهها
این شرایط کاملاً قابلشناسایی هستند. در صورتی که شما دچار مشکل پا پرانتزی شوید، زانوهای شما در زمان ایستادن در حالتی که پاها و قوزکهای آن در کنار یکدیگر باشند، از هم فاصله میگیرند. زانوی پرانتزی یک مشکل متقارن است که امکان مشاهده آن در هر دو پا وجود دارد.
دیگر علائم پرانتزی بودن پا شامل موارد زیر میشود:
- ثابت نبودن زانو
- کاهش دامنه حرکت لگن
- درد در زانو یا لگن
در اکثر موارد، مشکل پا پرانتزی با رسیدن کودک به سن 12 تا 18 ماهگی، به تدریج بهبود پیدا میکند. به هر حال در صورتی که کودک شما پس از دو سالگی هنوز مشکل پا پرانتزی داشته یا این شرایط به تدریج تشدید شده باشد، لازم است در این رابطه با پزشک ملاقات شود.
تشخیص
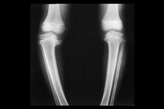
تشخیص مشکل پا پرانتزی به سادگی امکانپذیر است، اما پزشک میتواند درباره شدت مشکل یا اینکه این موضوع بهخاطر بیماریهای دیگر تشکیل شده، اطلاعات لازم را در اختیار شما قرار دهد. در طول جلسه ملاقات با پزشک، معمولاً معاینات لازم بر روی پای کودک انجام شده و وضعیت راهرفتن وی بررسی میشود. علاوه بر این پزشک ممکن است از عکسبرداری رادیولوژی زانوها و آزمایش خون برای تأیید تشخیص علت مشکل استفاده کند. در واقع عکسبرداری انجام شده از استخوان میتواند به پزشک در ارتباط با آسیبهای وارد شده به استخوانهای پا و زانو کمک کند و آزمایش خون میتواند ابتلای احتمالی فرد به بیماری پوکی استخوان یا پاژه را مشخص نماید.
راهها و روشهای درمان
در اکثریت موارد ایجاد مشکل پا پرانتزی، در صورتی که مشکل در بازه سنی ذکر شده فوق ایجاد شود، دلیل مشکل فیزیولوژیک میباشد. یک روش مناسب برای بررسی شدت مشکل میتواند اندازهگیری فاصله ایجاد شده بین پاها در محل زانو باشد. در صورتی که این فاصله برای کودکان کمتر از 2 اینچ باشد، نیازی به نگرانی درباره این مشکل نیست و نظارت و سنجش شرایط و حرکات اصلاحی زانوی پرانتزی بهصورت ادواری میتواند تمام چیزی باشد که برای درمان به آن نیاز است.
به هر حال در صورت مشاهده شرایط زیر، لازم است فعالیتهای درمانی بیشتری برای رفع مشکل پا پرانتزی بیمار انجام شود:
- در صورتی که پا پرانتزی یا پا ضربدری برای مدت طولانیتر نسبت به آنچه ذکر شد در فرد ایجاد شود. برای مثال مشکل پا پرانتزی در سنین بالای 3 سال و مشکل پا ضربدری در سنین بالای 7 سال باید با استفاده از روشهای جدید و مناسب درمان شود.
- در صورتی که این مشکل فقط در یک پا وجود داشته باشد.
- در صورتی که فاصله بین پاها در محل زانو بیشتر از 2 اینچ بوده یا این فاصله به سرعت در حال افزایش باشد (برای مثال در صورتی که هر شش ماه نیم اینچ به این فاصله اضافه شود).
- مشاهده علائمی مثل درد یا لنگیدن یا علائم ابتلا به بیماری بلانت، نرمی استخوان، یا سایر بیماریهای استخوانی در فرد مورد نظر
روشهای درمانی و اصلاح قابل استفاده در این حالت به شرح زیر هستند:
- استفاده از کفشهای مخصوص
- استفاده از بریسها
- استفاده از قالبها
- انجام عمل جراحی برای ترمیم و رفع مشکل استخوان
- درمان بیماریها یا شرایطی که باعث ایجاد پا پرانتزی شده است.
توجه داشته باشید که شرایط طولانی مدت پا پرانتزی میتواند باعث ابتلا به آرتروز زانو و لگن شود.
3 ورزش مناسب برای پرانتزی بودن پا
در ادامه به برخی از ورزشهایی که برای پاهای پرانتزی مناسب میباشند اشاره شده است:
حرکت لمس انگشتان پا

نحوه انجام:
یک مت ورزشی یا ماساژ را رول کرده و در بین زانوها قرار دهید. در این حالت پاها بین 8 تا 10 سانتیمتر از هم فاصله میگیرند. رول را در بین پاهای خود فشار دهید. پاهای خود را صاف نگه داشته و سعی کنید به آرامی به سمت پایین خم شوید تا بتوانید انگشتان پایتان را لمس نمایید. سپس به طرفین چرخیده و دستان خود را بالای سرتان ببرید. این حرکت را 10 بار تکرار کنید.
اسکات در حالی که انگشتان پا به سمت داخل است
این نوع از اسکات بیشتر بر روی قسمت داخلی ران تأثیر میگذارد تا قسمت خارجی آن، در نتیجه ماهیچههایی که کمک میکنند تا زانو به سمت مرکز بدن بچرخد قویتر میشوند.
نحوه انجام:
در حالی که ایستادهاید پاهای خود را به فاصله 20 سانتیمتر باز کنید. سپس آنها را به سمت یکدیگر بچرخانید به طوری که شستهای پا هم را لمس کنند. در این حالت به آرامی اسکات بزنید. میتوانید برای تعادل بیشتر دستهای خود را به سمت جلو بیاورید. در این تمرین به صورت طبیعی دامنه حرکات شما محدود خواهد بود.
چرخش داخلی (خوابیده به پهلو)
این حرکت ماهیچههایی را که باعث چرخش پا شده و زانو را به سمت جلو میرانند هدف قرار میدهد.
نحوه انجام:
بر روی پهلو دراز کشیده و پاها را در حالی که زانوها 90 درجه خم شدهاند بر روی یکدیگر قرار دهید. برای این حرکت بدن باید از سر تا زانوها به صورت صاف و در یک راستا قرار بگیرند و پاها به سمت کمر خم شوند. زانوها را به هم بچسبانید، سپس قسمت داخلی پای رویی را به سمت بالا چرخانده و دوباره به آرامی آن را به سمت پایین باز گردانید. این حرکت را 10 بار برای هر پا تکرار کنید. برای این که فشار حرکت را بیشتر کنید میتوانید از یک کش ورزشی مخصوص بر دور پاهای خود استفاده نمایید.
پرانتزی بودن پا در کودکان چگونه اصلاح میشود؟
در صورتی که این بیماری در نوزادان و کودکان خردسال شدید نمیباشد به درمان نیازی ندارد؛ اما در صورتی که بیماری تا بعد از 2 سالگی ادامه داشت نحوه درمان آن به علت بروز آن بستگی دارد.
روشهای درمان شامل کفشهای مخصوص، آتل، بریس، گچگرفتن، جراحی یا درمانکردن علت اصلی بیماری میشود.
- بیماری بلانت. درمان زودهنگام به کمک آتل یا بریس تنها موارد لازم برای درمان این بیماری است.
- راشیتیسم. در این حالت، پزشک با اضافه کردن ویتامین D و کلسیم به رژیم غذایی کودک، بیماری وی را درمان مینماید. در صورتی که راشیتیسم به دلیل ژنتیک رخ داده باشد، پزشک شما را به فرد متخصص ارجاع خواهد داد.
در صورتی که بیماری با وجود درمان باز هم ادامه پیدا کرد، برای جلوگیری از آسیب بیشتر و اصلاح آن به جراحی نیاز خواهد شد. گزینههای جراحی شامل موارد زیر میشوند:
- رشد هدایت شده. در این پروسه جراح درون پای کودک یک صفحه یا میله فلزی قرار میدهد. با این کار رشد قسمت سالم استخوان به صورت موقت متوقف شده تا قسمت خمیده آن رشد نماید. به این طریق پای کودک از طریق رشد طبیعی کاملاً صاف میشود. بعد از این، جراح میله یا صفحه را از پای وی خارج خواهد کرد.
- استئوتومی تیبیا. در طول این پروسه، جراح قسمتی از استخوان ساق پا را که در زیر زانو قرار دارد بریده و حالت آن را اصلاح مینماید. در زمانی که استخوان ترمیم میشود آن را به کمک میله و پیچ ثابت نگه میدارند تا حالت خارجی آن حفظ شود.
مشکلات ناشی از پای پرانتزی
پرانتزی بودن پا بیشتر از یک مشکل ظاهری است. این عارضه میتواند باعث درد لگن و زانو، محدود شدن دامنه حرکات به خصوص در لگن، سختی در راهرفتن و دویدن و بیثباتی زانو شود. با بزرگ شدن فرد علائم بیماری وی نیز شدیدتر خواهد شد. آرتروز زانو در بزرگسالانی که به زانوی پرانتزی مبتلا هستند رایج میباشد.
پیشگیری
هیچ روش مشخصی برای پیشگیری از مشکل پا پرانتزی وجود ندارد. در برخی موارد، شما میتوانید با اجتناب از قرارگیری در شرایط خاص از ایجاد این مشکل جلوگیری کنید. برای مثال، شما میتوانید با اطمینان از دریافت مقدار کافی ویتامین دی (D) توسط کودک، از ابتلا به بیماری نرمی استخوان پیشگیری نمایید. انجام این کار از طریق انتخاب رژیم غذایی مناسب و نیز قرار گرفتن در معرض نور خورشید و انجام حرکات اصلاحی پای پرانتزی امکانپذیر میباشد.
سؤالات متداول
ژنو واروم یا زانوی پرانتزی از چه سنی به بعد اختلال و بدفرمی محسوب میشود؟
پرانتزی بودن زانو تا 18 ماهگی کودک طبیعی محسوب میشود.
در صورت درمان نکردن پای پرانتزی چه رخ میدهد؟
در صورتی که این بیماری در کودکی تشخیص داده نشده و درمان نشود میتواند منجر به درد و بروز آرتروز در بزرگسالی شود.
آیا اصلاح پای پرانتزی باعث افزایش قد میشود؟
بله، با اصلاح این عارضه در حدود نصف اینچ به قد پاها اضافه خواهد شد.
آیا میتوان پای پرانتزی را اصلاح نمود؟
روشهای غیرجراحی باعث تقویت ماهیچهها و استخوانها میشوند؛ اما نمیتوانند حالت استخوان را تغییر دهند. تنها روشی که میتواند به صورت کامل فرم استخوان را تغییر دهد این است که آن را برید و دوباره صاف نمود.
آیا پرانتزی بودن پا بر روی حالت بدن تأثیر میگذارد؟
بله، این عارضه میتواند بر روی حالت کلی بدن تأثیر گذاشته و به مرور زمان باعث کمر درد شود.
آیا پرانتزی بودن پا با افزایش سن شدیدتر میشود؟
پرانتزی بودن پا فقط در صورتی به مرور زمان و با افزایش سن شدیدتر میشود که به علت یک بیماری زمینهای به وجود آمده باشد. برای مثال بیماری پاژه یک بیماری نادر است که فقط افراد مسن را درگیر میکند. یکی از علائم این بیماری بزرگشدن استخوانها است که میتواند منجر به پرانتزی بودن پاها شود.
اصلاح پرانتزی بودن پاها چقدر زمان میبرد؟
این زمان به متد درمان بستگی دارد؛ اما به صورت کلی اصلاح این عارضه به آرامی انجام میشود و چیزی بین 6 تا 12 ماه زمان میبرد.









